Sfaturi practice, noutăți stomatologice și soluții pentru îngrijirea dentară
Protoxidul de azot este tot mai utilizat în stomatologie, în special pentru copii și persoanele care se tem de vizita la dentist.
Un dinte fisurat reprezintă o modificare structurală a dintelui, care poate afecta smalțul, dentina sau structurile mai profunde, fără ca leziunea să
Poziționarea si distanțarea corecta a dintilor asigură un zambet impecabil. La unele persoane distanțarea poate fi ceva mai mare, ducând la diastemă,
Atunci când durerea resimtita la un dinte se agraveaza, cu siguranta va fi nevoie sa apelati la un medic stomatolog, pentru punerea
Vizitele la medicul dentist ar trebui sa fie efectuate cu regularitate, fara a astepta sa va doara ceva. Un astfel de obicei
Durerea dentara este de multe ori un simptom care ne trimite de urgenta la medicul stomatolog. Ea poate fi determinata de multe
Tratamentul endodontic este important pentru tratarea infecțiilor pulpare și pentru prevenirea complicațiilor ulterioare, oferind șansa de a salva un dinte afectat. În
Aparitia primilor dinti, schimbarea lor si diverse afectiuni dentare sunt adesea asociate cu o stare de disconfort si durere. Pentru a putea
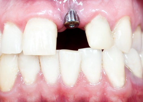
Implantul dentar este la ora actuala cea mai moderna, sigură și estetica metodă pentru a asigura refacerea danturii si umplerea unei absente
Ce este un abces dentar? Un abces dentar reprezintă o acumulare concentrată de puroi ce apare ca răspuns la o infecție bacteriană
Încrederea în sine este strâns legată de felul în care ne simțim atunci când zâmbim, vorbim sau mestecăm fără disconfort. În stomatologia
Discuția de astăzi este despre parodontoză – o afecțiune complexă, cu evoluție lentă, dar cu impact major asupra sănătății orale și generale.
Vrei să fii la curent cu ultimele noutăți din domeniu și ofertele clinicii noastre?
Copyright © 2026 Omega Omnident. Toate drepturile rezervate. Powered by Emiral.